Heim
Produkte
Mikro -Applikator
Zahnmikropinsel
Luftwasserspritzenspitzen
Adhäsive Tipp Applikatoren
Mischen von Tipps
Mischverhältnis von 1: 1
Mischverhältnis von 1:10
Zahnfördertipp
Prophybürste
Wurzelkanalbürste
Riegelpinsel
Pinsel einschrauben
Prophy Cup
Latch -Tasse
Schrauben Sie einen Typ Tasse
Prophy Head Cup
HP -Prophybecher HP -Typ
Dental Dappen Dish
Zahndorren
Zahnhardwarezubehör
Zahnärztliche bur
Wolframstahl
Zirkonia
Suche nach Produkten
Betreten Sie das Produktcenter >
Kontaktieren Sie uns
info@skymen.cc
Fähigkeiten
Technisch
Individuelle Lösungen
One-Stop-Service
Qualitätssicherung
Suche nach Produkten
Betreten Sie das Produktcenter >
Kontaktieren Sie uns
info@skymen.cc
Unternehmen
Über Ouwen
F & E -Team
Unsere Ehre
Suche nach Produkten
Betreten Sie das Produktcenter >
Kontaktieren Sie uns
info@skymen.cc
Download & FAQ
Nachricht
Kontaktieren Sie Uns
Anfrage Zitat
Produktsuche
Heiße Schlüsselwörter:
Product Category
Product Category
Product Category
Suche nach Produkten
Betreten Sie das Produktcenter >
Kontaktieren Sie uns
info@skymen.cc
Deutsch
Sprache
Türk dili
Español
Português
Pусский
Français
العربية
English
Suche nach Produkten
Betreten Sie das Produktcenter >
Kontaktieren Sie uns
info@skymen.cc
Heim
/
Nachricht
/
Branchennachrichten
/
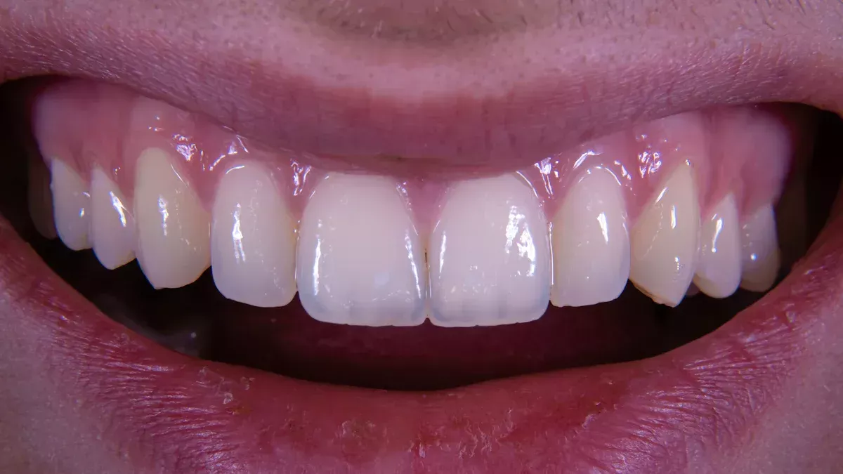
Ist Zahnpolieren dasselbe wie Zahnaufhellung?
Ist Zahnpolieren dasselbe wie Zahnaufhellung?
Anzahl Durchsuchen:
0
Autor:Site Editor veröffentlichen Zeit: 2025-10-16 Herkunft:
Powered
erkundigen
Zähne polieren
Zahnaufhellung
Willkommen, Anfragen an ein Unternehmen mit einem starken Hintergrund in Bezug auf Design, Produktentwicklung und Produktion zu senden.
PRODUKTKATEGORIE
Mikro -Applikator
Einweg -Zahnbinsel
Zahnspitzen für Zahnmischungen
Einweg-Luft-Wasser-Spritzenspitze
Prophybürste
SCHNELLE LINKS
Heim
Produkte
Fähigkeiten
Unternehmen
Download & FAQ
Nachricht
Kontaktieren Sie uns
KONTAKTIEREN SIE UNS
Nr. 8 Gongling Second Road, Shuxin Village, Changing Town, Dongguan City, Provinz Guangdong, China
+86-13929448890 / +86-13713374574
+86-13929448890 / +86-13713374574
+86-769-81099096
+86-769-81099586
anna@chinaouwen.com
+86-13929448890
+86-769-81099096
anna@chinaouwen.com
+86-13929448890
Copyright
2025
Dongguan Ouwen Medical Device Technology Co.,Ltd
.
|
Sitemap
|
Datenschutzrichtlinie